Despite her father great achievements in the music , she ends up living on the streets!

After losing their 12-year-old son Caleb in a tragic accident, Tom and his wife Julia fell apart under the weight of grief. Their marriage didn’t survive, but…

My Ex-Wife Wanted Me to Give the Money I Saved for Our Late Son to Her Stepson — My Response Left Her and Her New Husband Speechless

After losing their 12-year-old son Caleb in a tragic accident, Tom and his wife Julia fell apart under the weight of grief. Their marriage didn’t survive, but…

Photographer Left Speechless After Finding This Giraffe And The Truth Will Break Your Heart

A wildlife photographer visiting South Africa’s Kruger National Park was left stunned after spotting a giraffe whose neck looked as if it were covered in tree bark….

Five years after she betrayed me, I came back seeking revenge — but what I learned next broke me more than the betrayal itself.

Ethan returned to his old home five years after his wife Sophie ended their marriage with a cold confession: she loved another man. Heartbroken, he left quietly,…

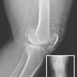
Doctors Stunned After Looking At This X-Ray Of Woman Suffering Joint Pain

A 65-year-old woman in South Korea went to the doctor for severe knee pain caused by osteoarthritis, but her X-ray revealed something shocking — hundreds of tiny…

Here’s Why You Have This Tiny Pocket On Your Jeans

The tiny pocket inside your jeans may seem useless today, but it actually has a long history. Levi Strauss & Co. introduced it in the late 1800s,…

Rich Woman Slapped Me For Mopping Too Slowly Until The Biker In Aisle Three Heard My Screams

An exhausted 78-year-old cleaner named Rosa was quietly mopping the grocery store aisle when a wealthy woman stormed through her wet floor signs, slipped, and blamed Rosa…

My Wife Threw Herself a Birthday Party and Didn’t Invite Me – When I Found Out Why, I Filed for Divorce

For 13 years, Evan and his wife, Lauren, celebrated every birthday and milestone together, so he was stunned when she suddenly insisted on skipping her birthday entirely….

With heavy hearts, we announce the passing of this legendary actor who gave us so much

Born in wartime chaos when the hospital he entered the world in was bombed just hours later, Udo Kier’s life began with drama — the same intensity…

The Thanksgiving I Can’t Forget — and the Truth I Tried to Hide

I still remember that Thanksgiving like it happened yesterday. Growing up, the holiday never meant full tables or big celebrations. My mom worked long shifts just to…